RADIOLOGIA
Lo studio Scolari Bengazi dispone dei seguenti esami diagnostici strumentali:
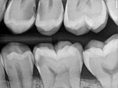
RADIOGRAFIA ENDORALE DIGITALE
La linea del sistema radiografico per immagini digitali della KODAK è un rapido sistema radiografico digitale presente in tutte le 10 postazioni dello studio. In questo modo la diagnosi di patologie del cavo orale viene effettuata immediatamente e può essere simultaneamente valutata da più professionisti in differenti box.
Per completare la diagnosi lo studio è fornito di DIAGNOCAM intraorale (TELECAMERA PER LA DIAGNOSI DELLA CARIE) ORTOPANTOMOGRAFIA.
ORTOPANTOMOGRAFIA
Viene effettuata per avere una visione generale delle arcate dentali, per valutare la posizione degli ottavi (denti del giudizio), valutare lo stato della dentizione in pazienti in età di sviluppo (presenza di denti inclusi, assenza di uno o più denti permanenti, etc.).
TELERADIOGRAFIA
Viene utilizzata in ortodonzia, per poter eseguire un tracciato cefalometrico e pianificare il trattamento.

CONE BEAM COMPUTERIZED TOMOGRAPHY CT-scan
Questo esame strumentale è oggi di estrema importanza. Essendo un esame con immagine tridimensionale consente allo specialista di visualizzare aree sia ossee che dentali, non altrimenti valutabili.
Si ottengono immagini di elevata qualità con dosi di radiazioni inferiori rispetto ad una normale tac.

Il successo di un trattamento odontoiatrico dipende non solo dall’esperienza dell’operatore e dalla collaborazione del paziente, ma anche dalle tecnologie utilizzate.
Perché viene utilizzata la CBCT (Cone Beam COMPUTERIZED TOMOGRAPHY)?
La CBCT offre un'immagine tridimensionale (3D) dettagliata a differenza di una radiografia tradizionale dove l'immagine rilevata è bidimensionale (2D). Di conseguenza la diagnosi e la terapia sono più precise.
Quando viene utilizzata la CBCT?
Tutte le volte che è necessario pianificare un intervento chirurgico più o meno complesso. In questo modo aumenta notevolmente la PREDICIBILITÀ, la QUALITÀ e la SICUREZZA della procedura chirurgica.
Quanto tempo richiede sottoporsi ad una CBCT?
Sottoporsi ad una CBCT richiede pochi minuti ed è indolore.
Quando sono disponibili i risultati?
Sono disponibili immediatamente!
La dose di radiazioni assunta è pericolosa?
La CBCT è una procedura sicura che sottopone il paziente ad una minima dose di radiazioni.
ALTRE SPECIALIZZAZIONI
CASI CLINICI
Interventi terapeutici sui nostri pazienti
14
GEN
GEN


