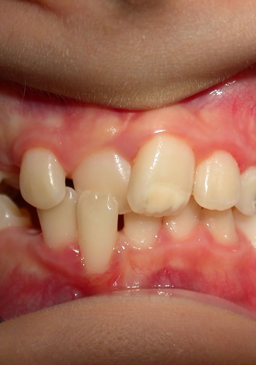
Placca di espansione
Sono dispositivi rimovibili che vengono applicati per tempi brevi (circa 8-14 mesi) per correggere problemi di natura dentale.
Dopo la correzione si aspetta l'eruzione di tutti i denti permanenti per valutare la necessità o meno di una seconda fase con apparecchi fissi.





