Terapia endodontica di un dente in pulpite
Premolare superiore di sinistra in pulpite (infiammazione acuta della polpa).
Si è resa necessaria la terapia endodontica.
L'elemento verrà poi ricostruito e successivamente protesizzato.

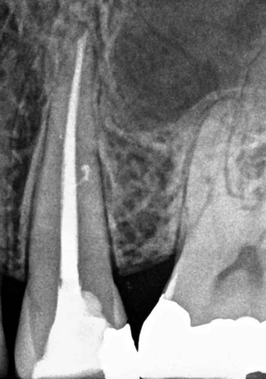
Premolare superiore di sinistra in pulpite (infiammazione acuta della polpa).
Si è resa necessaria la terapia endodontica.
L'elemento verrà poi ricostruito e successivamente protesizzato.